
В начале XXI века загадочный недуг начал поражать работников фабрик по производству попкорна. Спустя два десятилетия симптомы стали проявляться вновь — но уже у тех, кто вообще не был связан с промышленным производством, — у вейперов. Расскажем об этом подробнее.
|
| Автор: София Янская редактор "Вести.ru" |
|
| Марина Калюжная врач психиатр-нарколог |
|
| Видео в материале: Александр Мясников врач, ведущий программ "О самом главном" и "Доктор Мясников" на "России 1" |
- Попкорновая болезнь легких: что это такое
- Что такое болезнь вейперов
- Симптомы попкорновой болезни и EVALI
- Как и от чего развивается попкорновая болезнь
- Причины EVALI
- Диагностика EVALI: как выявляют
- Дифференциальная диагностика
- Классификация
- Как проходит лечение попкорновой болезни у вейперов
- Возможные осложнения и последствия
- Профилактика EVALI
- Часто спрашивают
- Как понять, что у тебя попкорновая болезнь легких?
- Можно ли вылечить попкорновую болезнь?
- Что вызывает попкорновую болезнь?
- Список источников
Попкорновая болезнь легких: что это такое
Это неофициальное название облитерирующего бронхиолита — редкого, тяжелого воспалительного заболевания.
В начале XIX века при исследовании аналогичных клинических случаев ученые установили, что вдыхание паров диацетила (компонента ароматизаторов) вызывает повреждение дыхательных путей — и развитие болезни.
Заболевание поражает мелкие бронхиолы (самые тонкие дыхательные пути), вызывая их сужение и рубцевание. Это приводит к нарушению проходимости воздуха и прогрессирующей дыхательной недостаточности.
Что такое болезнь вейперов
EVALI (E-cigarette or Vaping product use-Associated Lung Injury) — это воспалительное заболевание, связанное с использованием электронных сигарет. Она напоминает течение попкорновой болезни.
Дело в том, что в вейпах тоже был обнаружен диацетил (особенно в ароматизированных жидкостях), а также витамин E ацетат (использовался как загуститель в нелегальных жидкостях с ТГК) [1] и еще ряд веществ — о них мы расскажем далее.
Марина Калюжная, врач психиатр-нарколог учредитель "Клиники доктора Калюжной", рассказала:
Ацетат витамина Е, часто используемый как загуститель в жидкостях с ТГК, при нагревании распадается на кетен — токсичный газ, вызывающий острый химический пневмонит. Это вещество нарушает функцию легочного сурфактанта, что приводит к слипанию альвеол и кислородному голоданию.
Симптомы попкорновой болезни и EVALI

Попкорновая болезнь легких (облитерирующий бронхиолит) развивается медленно, но приводит к необратимым повреждениям. Она может не проявляться сразу, но по мере прогрессирования проявления становятся все более выраженными:
- Сухой, постоянный, надсадный кашель.
- Одышка при физической нагрузке: даже легкие упражнения вызывают сильную нехватку воздуха.
- Свистящее дыхание — особенно на выдохе.
- Стеснение в груди, ощущение сдавленности или жжения.
- Утомляемость: из-за нехватки кислорода.
- В тяжелых случаях — снижение насыщения крови кислородом, что может вызывать головокружение, посинение губ и ногтей.
Важно: проявления легко спутать с астмой, бронхитом или ХОБЛ, но отличие в том, что попкорновая болезнь легких не поддается лечению обычными бронхолитиками или стероидами.
Если говорить про EVALI (часто начинается внезапно и требует срочной медицинской помощи), то Марина Калюжная порекомендовала насторожиться при появлении:
Одышки, боли в груди, кашля (иногда с кровью), а также повышения температуры, озноба и резкой потери веса. У 77% пациентов, по данным CDC отмечаются желудочно-кишечные расстройства — тошнота, рвота, диарея.
Как и от чего развивается попкорновая болезнь

Заболевание начинается с воздействия химических веществ, которые раздражают и повреждают внутренние стенки дыхательных путей.
Из-за вдыхания паров диацетила (или аналогичных веществ) воспаляется слизистая бронхиол и начинают разрушаться клетки, выстилающие дыхательные пути.
Усугубляет ситуацию реакция иммунной системы. Хотя она стремится защитить организм, в процессе становится хуже: в ответ на раздражитель иммунные клетки (макрофаги, Т-клетки, нейтрофилы) устремляются в легочную ткань, где выделяют воспалительные молекулы (цитокины), которые вызывают отек, раздражение и лизис (растворение) тканей.
Вместо полноценного восстановления запускается патологическое заживление: клетки фибробласты формируют избыточную соединительную ткань, — в бронхиолах образуются рубцы. В итоге бронхиолы сужаются, становятся менее гибкими, — и нарушается движение воздуха (организм недополучает кислород).
Причины EVALI
Причиной становятся вещества, вдыхаемые с паром от вейпа, которые нарушают структуру и функцию легочной ткани.
Марина Калюжная объяснила:
Группами риска являются подростки и молодые люди, активно употребляющие электронные сигареты, особенно с жидкостями, содержащими тетрагидроканнабинол (ТГК) или каннабидиол. Основная опасность ТГК заключается в его способности провоцировать тяжелое воспаление легочной ткани через взаимодействие с каннабиноидными рецепторами, что у подростков и молодых людей усугубляется незавершенным развитием дыхательной системы и повышенной уязвимостью к токсинам.
Также в опасности те, кто использует несертифицированные или самодельные смеси, где выше риск наличия токсичных добавок, таких как ацетат витамина Е, который при нагревании распадается на кетен, вызывающий химический пневмонит.
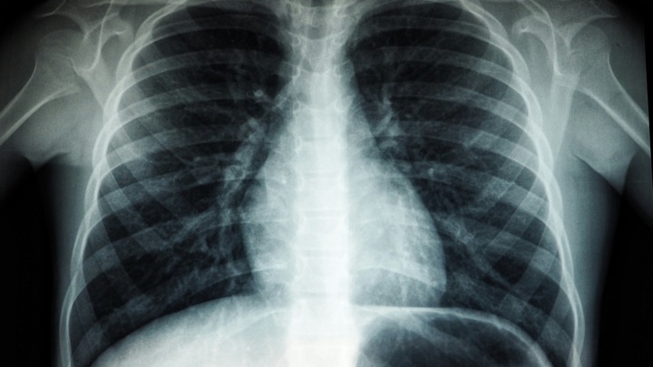
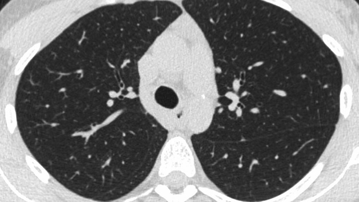
Диагностика EVALI: как выявляют

radiopaedia.org
Чтобы установить диагноз, специалист собирает анамнез: уточняет, как давно развились симптомы, пользуется ли пациент вейпами, и если да, то какими жидкостями. Также проводится аускультация легких (прослушивание), — чтобы выявить хрипы и оценить частоту дыхания.
Еще важно определить, насколько организм насыщен кислородом, — сатурацию (SpO₂). Если на воздухе уровень ниже 95%, — это сигнал о проблемах с газообменом. Так, в тяжелых случаях SpO₂ может падать до 88% и ниже, особенно при нагрузке.
Также проводится рентгенография грудной клетки. Рентген часто показывает двусторонние инфильтраты (затуманенные участки) — признаки воспаления в легких. Если же исследование недостаточно информативно (а так бывает часто из-за низкой чувствительности теста), также выполняют компьютерную томографию (КТ), которая показывает очаги воспаления и участки утолщения интерстициальной (соединительной) ткани.
Кроме того, важно провести лабораторные анализы:
- Общий анализ крови (уровень лейкоцитов)
- Состав крови (для оценки кислорода и углекислого газа)
- Тесты на вирусные, бактериальные и грибковые инфекции
Дифференциальная диагностика

EVALI сложно отличить от других заболеваний. Поэтому важно исключить:
- Инфекционные поражения (при некоторых из них будут помогать антибиотики):
- Пневмония (бактериальная, вирусная, грибковая)
- Коронавирусная инфекция
- Грипп
- Туберкулез
- Неинфекционные причины:
- Вдыхание токсичных веществ (например, хлор, аммиак)
- Васкулиты (аутоиммунные поражения сосудов)
- Лекарственно-индуцированное поражение
- Обострение астмы, ХОБЛ, саркоидоза
Классификация
Одной из наиболее известных стала Ворчестерская (Вустерская), разработанная в медицинском центре Университета в штате Массачусетс после вспышки болезни в 2019 году [2]. Она разделила пациентов с подозрением на EVALI на 3 основные категории:
- Подтвержденный (Definite): пациент соответствует всем критериям:
- Использовал вейп за последние 90 дней.
- Имеет характерные проявления (одышка, кашель, лихорадка и другие).
- Исследования легких (рентген или КТ) показали типичные для болезни легких поражения.
- Полностью исключены другие причины (например, инфекции).
- Вероятный (Probable): пациент почти соответствует критериям, но остались сомнения. Например, выполнены не все тесты на инфекции — или возможна сопутствующая инфекция, которая не объясняет клиническую картину полностью.
- Возможный (Possible): использование вейпа подтверждено, есть симптомы и изменения на КТ или рентгене — но, например, недостаточно данных, чтобы исключить другие болезни.
Как проходит лечение попкорновой болезни у вейперов

Источник: unsplash.com
Основным классом препаратов для подавления воспаления считаются глюкокортикостероиды (ГКС). Они могут замедлить фиброз, особенно на ранней стадии, но не остановят уже возникшее рубцевание. Вводятся системно (в форме таблеток или инъекций) или ингаляционно.
А для облегчения симптомов (одышка, свистящее дыхание) используются бронходилататоры. Также ограниченно, в редких случаях, применяются антифибротические препараты.
Если выявлена вторичная инфекция (например, бактериальная пневмония на фоне ослабления легочной функции), могут применяться антибиотики.
Важно: это симптоматическая терапия, которая не лечит основную причину, но улучшает качество жизни.
При развитии дыхательной недостаточности назначается постоянная или интервальная подача кислорода, особенно при снижении сатурации (SpO₂ < 88–90%).
Также существуют программы легочной реабилитации, которые помогают пациентам лучше дышать.
Важно: обязательный шаг при проведении лечения — полный отказ от электронных сигарет и любых ингаляционных токсинов!
Возможные осложнения и последствия
Что бывает при отсутствии своевременной диагностики и отказа от использования электронных сигарет:
- Выраженная дыхательная недостаточность. В запущенных случаях пациент не может выполнять элементарные действия — ходьба, разговор, подъем по лестнице.
- Хроническая гипоксия, из-за которой ухудшается работа всех органов, а у детей и подростков даже может замедляться рост и развитие.
- Повышение давления в легочных артериях (легочная гипертензия), что может приводить к острой сердечной недостаточности, аритмии, асфиксии.
- Рецидивирующие инфекции (из-за нарушенной вентиляции и ослабленного иммунного ответа).
- Снижение качества жизни.
- Необходимость трансплантации — единственный шанс продлить жизнь в терминальной стадии заболевания.
Профилактика EVALI
Базовые правила безопасности:
- Не использовать электронные сигареты с неизвестным составом, особенно нелегальные (например, с ТГК) и с самодельными картриджами.
- Обращать внимание на маркировку:
- отсутствие витамина Е ацетата, масел, жиров, липидов;
- минимальное количество ароматизаторов.
- Никогда не заправлять картриджи вручную, так как это увеличивает риск попадания посторонних веществ, загрязнений и окисленных компонентов.
- Не использовать старые, перегретые или неисправные электронные сигареты.
- Не вдыхать слишком глубоко и не задерживать пар.
- При первых же симптомах (кашель, одышка, лихорадка, боль в груди) обращаться за помощью.
Однако лучшая мера профилактики — полное исключение факторов риска — отказ от электронных сигарет.
Часто спрашивают
Как понять, что у тебя попкорновая болезнь легких?
Основные симптомы попкорновой болезни:
- Постоянный сухой кашель, который не проходит неделями или месяцами и не реагирует на обычные лекарства.
- Одышка, особенно при физической нагрузке, которая со временем может усиливаться даже при минимальной активности или в покое.
- Хрипы или свист при дыхании, особенно на выдохе.
- Стеснение в груди, ощущение давления или жжения.
- Повышенная утомляемость и снижение выносливости.
- В тяжелых случаях — посинение губ, ногтей, головокружение из-за нехватки кислорода.
Можно ли вылечить попкорновую болезнь?
Полностью — к сожалению, невозможно. Это необратимое заболевание, при котором рубцовая ткань в дыхательных путях замещает естественные структуры.
Вернуть все к нормальному состоянию нельзя, так как рубцы не рассасываются и не восстанавливаются. Лечение может только замедлить прогрессирование и облегчить симптомы.
Что вызывает попкорновую болезнь?
Вдыхание токсичных химических веществ приводит к хроническому воспалению и повреждению бронхиол.
Основной "виновник" — диацетил — это ароматизатор с маслянистым запахом, часто использовавшийся в пищевой промышленности. Сегодня он встречается в ароматизированных жидкостях для электронных сигарет, особенно несертифицированных или нелегальных.
Список источников
- Blount B. C. et al. Vitamin E acetate in bronchoalveolar-lavage fluid associated with EVALI //New England Journal of Medicine. – 2020. – Т. 382. – №. 8. – С. 697-705. Дата обращения: 26.05.2025.
- Outbreak of Lung Injury Associated with the Use of E-Cigarette, or Vaping, Products. Федеральное агентство Министерства здравоохранения США (CDC). Ссылка: https://archive.cdc.gov/www_cdc_gov/tobacco/basic_information/e-cigarettes/severe-lung-disease.html?utm_source=chatgpt.com. Дата обращения: 27.05.2025.






